Slijtage aan je tanden: hoe ontstaat het?
Veel mensen merken pas laat dat hun tanden aan het slijten zijn. Soms doordat de tanden korter worden, soms doordat er stukjes afbreken. Slijtage kan verschillende oorzaken hebben, zoals tandenknarsen, een verkeerde beet of gewoon natuurlijke slijtage door de jaren heen.
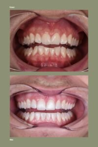
Bij VLIJT Tandartsen in Eindhoven zien we regelmatig jonge mensen met dit probleem. Een mooi voorbeeld is een 18-jarige patiënt die bij ons kwam met ernstige slijtage aan zijn voortanden.
Een jonge patiënt met slijtage
Deze patiënt had op het eerste gezicht geen klachten, maar zijn ondertanden werden steeds korter. Zijn wens? Hij wilde graag oud worden met zijn eigen tanden én vond het belangrijk dat ze er mooi en wit uit zouden zien.
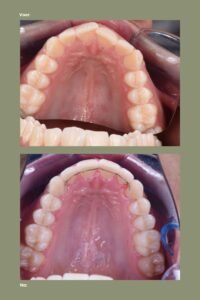
Uit onderzoek bleek dat hij een diepe beet had. Zijn ondertanden sloten te diep in zijn boventanden, waardoor ze continu verkeerd belast werden. Dit zorgde voor slijtage die op jonge leeftijd al duidelijk zichtbaar was.

Align, Bleach, Bond
Binnen de tandheelkunde spreken we vaak van Align, Bleach, Bond – oftewel: rechtzetten, bleken en opbouwen. Ook bij deze patiënt hebben we dit stappenplan toegepast:
1. Align – de beugel (aligners)
Om de beet te corrigeren, begonnen we met een alignertraject. Aligners zijn doorzichtige, uitneembare beugels die stap voor stap de tanden op de juiste plek zetten.
Lees meer over onze aligner behandelingen.
Met behulp van ORDOLINE digitale scans konden we de duur van het traject nauwkeurig bepalen: in dit geval 6 maanden.
2. Bleach – tanden bleken
Na het alignertraject kozen we voor tanden bleken. Dit zorgt niet alleen voor een frisse uitstraling, maar geeft ook een lichtere basis voordat we de tanden opbouwen met vulmateriaal.
Meer weten? Ontdek alles over tanden bleken bij VLIJT.
3. Bond – herstellen en opbouwen
Na het bleken hebben we de afgesleten voortanden opgebouwd met duurzaam vulmateriaal. Ook kleine hoekjes van de boventanden hebben we hersteld. Het resultaat? Een natuurlijke, stralende lach die past bij zijn leeftijd.
Dit valt onder cosmetisch herstel.

Het resultaat
Binnen 6 maanden met aligners, gevolgd door 2 weken bleken en één behandelafspraak voor het opbouwen, kreeg deze patiënt zijn glimlach én vertrouwen terug. Zijn tanden zijn niet alleen mooier, maar ook functioneel weer sterk.
Veelgestelde vragen over slijtage en aligners
Hoe weet ik of mijn tanden slijten?
Let op korter wordende tanden, scherpe randjes of gevoeligheid bij kou en warmte.
Wat is het verschil tussen aligners en een slotjesbeugel?
Aligners zijn doorzichtige, uitneembare beugels die comfortabeler en minder zichtbaar zijn.
Is tanden bleken veilig?
Ja, mits dit professioneel gebeurt bij de tandarts. Zo weet je zeker dat het resultaat veilig en duurzaam is.
Hoe lang duurt een alignerbehandeling?
Dit verschilt per situatie, maar varieert meestal tussen 3 en 12 maanden.
Klaar voor een stralende lach?
Heb jij last van slijtage, een diepe beet of wil je simpelweg een mooiere glimlach? Bij VLIJT Tandartsen in Eindhoven helpen we je met moderne oplossingen zoals aligners, bleken en cosmetisch herstel.
👉 Neem contact met ons op voor een vrijblijvend consult.





