Geen beugel gehad? Toch spijt op latere leeftijd
Er is een grote groep mensen die op jonge leeftijd geen beugel heeft gehad, maar hier op latere leeftijd toch spijt van krijgt. Een verkeerde stand van tanden en kiezen kan verschillende gevolgen hebben:
• Functionele problemen zoals slijtage of moeite met kauwen.
• Moeilijke mondhygiëne, omdat scheve tanden lastiger schoon te houden zijn → grotere kans op gaatjes en tandvleesproblemen.
• Esthetische klachten: niet durven lachen omdat de tanden niet mooi recht staan.
• Spraak- en ademhalingsproblemen, omdat de stand van de kaken invloed heeft op lipsluiting en ademhaling.
Bij VLIJT Tandartsen in Eindhoven zien we regelmatig patiënten die zich hierin herkennen.
De casus: esthetische hulpvraag
Een patiënte was al jaren niet tevreden over haar lach, met name over haar bovenste voortanden. Door verschillende tandartsen was haar eerder een beugeltraject geadviseerd – zelfs in combinatie met een mogelijke kaakoperatie.
Omdat dit een zeer langdurig en ingrijpend traject zou zijn, heeft zij dit altijd uitgesteld. Toch bleef ze zich dagelijks bewust van haar lach en schaamde ze zich hier vaak voor.
Een plan op maat
Tijdens de intake bespraken we uitgebreid haar wensen en zorgen. Als tandarts kijken we altijd naar een balans tussen de wens van de patiënt en de duurzaamheid van de oplossing.
De eerste behandeloptie was een orthodontisch traject gecombineerd met restauratief werk: tanden en kiezen verplaatsen om zowel functie als esthetiek te verbeteren.
Omdat dit voor de patiënte niet haalbaar was, bespraken we een alternatief behandelplan:
👉 Het plaatsen van 7 kronen/facings om de tandstand optisch te maskeren, de vorm en kleur te verbeteren en zo weer een zelfverzekerde lach te creëren.
De behandeling stap voor stap
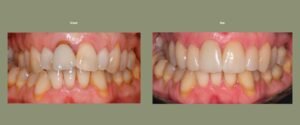
1. Ontwerp (mock-up)
In samenwerking met een tandtechnisch laboratorium maakten we eerst een ontwerp. Dit werd in de mond gepast zodat de patiënte vooraf kon zien hoe het eindresultaat eruit zou komen te zien.
2. Voorbereiden van de tanden
Na goedkeuring van het ontwerp werden de betreffende tanden en kiezen zo minimaal mogelijk beslepen. Hoeveel dit is, verschilt per casus en individueel behandelplan.
3. Tijdelijke facings/kronen
De patiënte kreeg tijdelijke facings en kronen die al de vorm hadden van het definitieve ontwerp.
4. Plaatsen van de definitieve facings/kronen
Twee weken later leverde het tandtechnisch laboratorium de definitieve kronen en facings. Deze zijn geplaatst met een duurzaam cement.

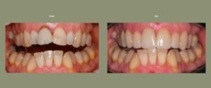
Het resultaat
Voor de patiënte betekende dit een grote verandering. Na meer dan 20 jaar onzekerheid durfde zij weer voluit te lachen.
• Haar tanden lijken optisch mooi in een boog te staan.
• Haar lach oogt breder en natuurlijker.
• Storende verkleuringen langs het tandvlees zijn verdwenen.
De kiezen sluiten nog steeds niet perfect op elkaar – maar dit was een bewuste keuze. Voor de patiënte woog een mooie lach zonder ingrijpende beugel of operatie veel zwaarder.

Veelgestelde vragen over facings en kronen
Kunnen facings of kronen een beugel vervangen?
Facings en kronen kunnen in sommige gevallen een beugel optisch vervangen, maar niet functioneel. Ze zorgen voor een mooiere lach, maar corrigeren de beet niet volledig.
Wat is het verschil tussen facings en kronen?
Een facing is een schildje dat op de voorkant van de tand wordt geplaatst. Een kroon omsluit de gehele tand en wordt gebruikt als er meer beschadiging of correctie nodig is.
Hoe lang gaan facings of kronen mee?
Bij goede mondhygiëne kunnen porseleinen facings en kronen 10–15 jaar of langer meegaan.
Is dit voor iedereen geschikt?
Nee, de keuze tussen beugel, facings of kronen hangt af van de situatie. Tijdens een intake bespreken we altijd de mogelijkheden en risico’s.
Klaar voor een zelfverzekerde lach?
Overweeg jij facings of kronen als alternatief voor een beugel? Bij VLIJT Tandartsen in Eindhoven helpen we je met moderne oplossingen zoals facings, kronen en tanden bleken.
👉 Plan een vrijblijvend consult en ontdek wat er mogelijk is voor jouw glimlach.





