Cosmetische tandheelkunde bij VLIJT Tandartsen
Ook voor cosmetische wensen kun je terecht bij VLIJT Tandartsen in Eindhoven. Er zijn verschillende manieren om de esthetiek van een gebit te verbeteren. Soms zijn facings de juiste oplossing. Bij onderstaande casus hebben we gekozen voor porseleinen facings om een natuurlijk, duurzaam en esthetisch resultaat te bereiken.

De casus: onvrede over de lach
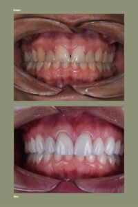
Een patiënte kwam bij ons binnen met een duidelijke hulpvraag: zij stoorde zich al jaren aan haar lach, en vooral aan haar bovenste voortanden. De tanden naast haar centrale voortanden waren van nature kegelvormig – klein en spits.
Tijdens de intake gaf zij aan dat ze zich stoorde aan:
• de vorm van haar tanden
• de kleur van haar gebit
• de lengte van de voortanden
Haar wens? Een natuurlijke, maar vollere lach die jarenlang mooi zou blijven.
Eerdere behandelingen
Haar vorige tandarts had de tanden al opgebouwd met composiet om de vorm te verbeteren. Hoewel dit tijdelijk resultaat gaf, was de patiënte niet meer tevreden en wilde ze alle opties opnieuw bekijken.
Om haar wensen concreet te maken, lieten we haar op groot scherm aanwijzen wat ze precies stoorde aan haar lach en tanden. Zo konden we samen een duidelijk behandelplan maken.

De oplossing: porseleinen facings
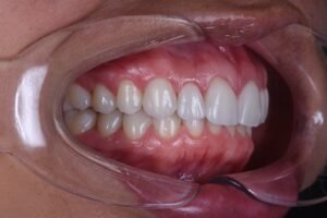
Na alle opties te hebben besproken, kozen we in deze casus voor porseleinen facings. Samen met onze tandtechnieker bepaalden we de vormgeving en besloten we om van hoektand tot hoektand te behandelen. Door de juiste lengte-breedteverhoudingen terug te brengen, konden we weer een mooie, natuurlijke lach creëren.
Stap 1: Bleken
Omdat de patiënte ook niet tevreden was met de kleur van haar gebit, startten we met het bleekprotocol van VLIJT Tandartsen. Hierdoor konden we een lichtere basiskleur bereiken voordat de facings werden geplaatst.
Stap 2: Tandvleescorrectie
We voerden kleine correcties aan het tandvlees uit zodat de tanden langer en breder gemaakt konden worden.
Stap 3: Voorbereiden & plaatsen facings
Daarna verwijderden we oude vullingen en prepareerden we de tanden voor de facings. Uiteindelijk hebben we de porseleinen facings geplaatst, die qua kleur en vorm naadloos aansloten op haar wensen.
Het resultaat
Met kleine, maar doordachte veranderingen hebben we deze patiënte weer een natuurlijke, stralende lach gegeven. Dankzij de duurzaamheid van porseleinen facings kan zij jarenlang genieten van dit resultaat.

Veelgestelde vragen over facings
Wat zijn porseleinen facings?
Dunne schildjes van porselein die over de voorkant van tanden worden geplaatst om de vorm, kleur en stand te verbeteren.
Wat is het verschil tussen porseleinen facings en composiet facings?
Porselein is duurzamer, verkleurt minder snel en geeft een natuurlijker resultaat. Composiet is vaak goedkoper maar minder lang houdbaar.
Hoe lang gaan facings mee?
Porseleinen facings kunnen bij goede verzorging 10–15 jaar meegaan.
Doet het plaatsen van facings pijn?
Het plaatsen van facings is vrijwel pijnloos en gebeurt onder lokale verdoving indien nodig.
Klaar voor een vollere en natuurlijke lach?
Overweeg jij facings om je glimlach te verbeteren? Bij VLIJT Tandartsen in Eindhoven helpen we je met duurzame oplossingen zoals porseleinen facings, tanden bleken en andere vormen van cosmetische tandheelkunde.
👉 Neem contact met ons op voor een vrijblijvend consult.





