Uw Glimlach Verfraaien in Eindhoven: Esthetische Tandheelkunde met Facings, Bleken en Meer
Esthetische tandheelkunde perfectioneert uw tanden en glimlach, met behoud van optimale functie. In Eindhoven combineert VLIJT Tandartsen gezondheid en schoonheid met bewezen expertise. Dit artikel verkent esthetische tandheelkunde, van facings en tanden bleken tot digitale glimlachplanning. Onzeker over verkleurde of beschadigde tanden? Hier vindt u keuzes, materiaalvergelijkingen en heldere stappen voor uw glimlach make-over, inclusief traject, kosten en onderhoudstips. Ontdek de esthetische diensten van VLIJT Tandartsen in Eindhoven en hun patiëntgerichte aanpak. We behandelen definities, behandelingen, processtappen, kosten, patiëntervaringen, onderhoud en consultplanning.
Wat houdt esthetische tandheelkunde in en waarom is het belangrijk voor uw glimlach?
Esthetische tandheelkunde verbetert vorm, kleur en positie van tanden, met focus op mondgezondheid en optimale functie. Deze wetenschappelijk onderbouwde aanpak combineert geavanceerde restauratieve technieken met zorgvuldige materiaalkeuze voor esthetiek en duurzaamheid, met respect voor de gezonde tandstructuur. De balans tussen schoonheid en behoud vormt de basis voor onze behandelingen in Eindhoven.
Wat is het verschil tussen esthetische en cosmetische tandheelkunde?
Esthetische tandheelkunde combineert uiterlijke verbetering met behoud en herstel van mondgezondheid. In tegenstelling tot puur cosmetische benaderingen, die primair op uiterlijk gericht zijn, volgen esthetische keuzes bij VLIJT Tandartsen strikt klinische overwegingen. Dit omvat respect voor glazuur, tandvleescontouren en langdurige gezondheid en functie. Minimaal invasieve opties krijgen de voorkeur, passend bij onze materiaalvergelijkingen en digitale planning voor duurzame resultaten.
Hoe draagt esthetische tandheelkunde bij aan uw zelfvertrouwen en mondgezondheid?
Esthetische verbeteringen bij VLIJT Tandartsen vergroten zelfvertrouwen door correctie van zichtbare problemen en verbeteren mondgezondheid door herstel van kauwfunctie en correctie van afwijkingen. Minimaal invasieve technieken versterken esthetiek en functie, wat bijdraagt aan betere tandvleesgezondheid en plaquecontrole. Een verbeterde glimlach motiveert vaak tot betere mondhygiëne en regelmatige controles, wat de levensduur van restauraties verlengt. Deze voordelen vormen de kern van onze behandelingen in Eindhoven.
Welke behandelingen vallen onder esthetische tandheelkunde in Eindhoven?

Bij VLIJT Tandartsen in Eindhoven omvatten onze esthetische behandelingen bewezen procedures zoals facings, professioneel tanden bleken, esthetische kronen en bruggen, composiet vullingen en tandvleescorrecties. Onze benadering harmoniseert esthetiek met optimale functie. De behandeling wordt afgestemd op de klinische indicatie: facings voor vorm en kleur, bleken voor verkleuringen, kronen voor ernstige schade, en composiet voor reparaties. Uw keuzes worden besproken en afgestemd op uw levensstijl, esthetische verwachtingen en materiaaleigenschappen, met transparante communicatie over onderhoud en duurzaamheid. Dit overzicht dient als leidraad voor uw beslissing.
Welke esthetische behandelingen biedt VLIJT Tandartsen in Eindhoven aan?
VLIJT Tandartsen is gespecialiseerd in esthetische behandelingen voor natuurlijke, duurzame en klinisch verantwoorde resultaten. Ons aanbod omvat facings, professioneel tanden bleken, kronen en bruggen, en esthetische composiet vullingen. Deze behandelingen integreren we met preventieve zorg en patiëntcomfort, voor functioneel optimale en langdurig verantwoorde verbeteringen. Onze toewijding aan continue ontwikkeling en de nieuwste technieken garandeert hoge kwaliteitsstandaarden. De volgende subsecties vergelijken materialen en methodes, inclusief onderhoudstips en verwachte levensduur, om u te helpen de meest geschikte behandeling te kiezen en het consultproces te begrijpen.
Wat zijn facings en welke soorten zijn er?
Facings zijn dunne schildjes die met precisie op de tanden worden geplaatst om kleur, vorm en positie te optimaliseren. VLIJT Tandartsen biedt porseleinen en composiet facings. Porseleinen facings bieden superieure kleurstabiliteit en lange levensduur, maar vereisen een hogere investering en meer invasieve voorbereiding. Composiet facings zijn conservatiever, direct aan te brengen en eenvoudiger te repareren. De materiaalkeuze wordt afgewogen op basis van uw esthetische doelen, budget en behoud van natuurlijke tandstructuur. Optimaal onderhoud en regelmatige controles zijn essentieel voor duurzaamheid. Lees hier meer over facings.

De tabel toont dat porseleinen facings duurzaamheid en kleurstabiliteit bieden, terwijl composiet facings flexibiliteit en een lagere initiële investering mogelijk maken voor een weloverwogen keuze.
Hoe werkt professioneel tanden bleken en welke methodes zijn er?
Professioneel tanden bleken bij VLIJT Tandartsen gebruikt peroxide-gebaseerde gels onder strikt toezicht. Deze gels breken verkleurende moleculen af, waardoor tanden veilig lichter worden zonder schade aan het tandglazuur, mits uitgevoerd door onze professionals. Meer over tanden bleken. Wij bieden in-office behandelingen voor snelle resultaten met hogere concentraties, en thuisbleeksets voor geleidelijke verbetering met lagere concentraties. Beide methoden voldoen aan veiligheidsprotocollen en worden gemonitord. Resultaten variëren per tandkleur en oorzaak van verkleuring; bestaande restauraties reageren doorgaans niet. Onze professionele begeleiding is essentieel voor uw veiligheid, minimaliseren van tandgevoeligheid en realistische verwachtingen.
- Strikte instructieopvolging: Gebruik de bleektray en gel exact zoals voorgeschreven door uw gekwalificeerde behandelaar.
- Beperking van verkleurende voedingsmiddelen: Vermijd intens kleurende dranken en roken, met name in de cruciale eerste weken na het bleken, om optimale resultaten te waarborgen.
- Proactieve nazorg: Gebruik een specifieke gevoeligheidspasta indien nodig en plan onmiddellijk een controleafspraak bij enige toename van pijn of gevoeligheid.
Wat zijn esthetische kronen en bruggen en wanneer zijn ze geschikt?
Esthetische kronen en bruggen herstellen functie en esthetiek van ernstig beschadigde of ontbrekende tanden. VLIJT Tandartsen gebruikt moderne, hoogwaardige keramische materialen voor natuurlijke esthetiek en weefselcompatibiliteit. Deze oplossingen zijn geschikt voor tanden die te beschadigd zijn voor facings, of voor het duurzaam vervangen van ontbrekende tanden. Materiaalkeuze, zoals volledig keramiek, is bepalend voor kleur, lichttransmissie en invasiviteit. Nazorg, inclusief bescherming tegen belastingen en regelmatige controles, is cruciaal voor langdurige stabiliteit en succes.
Welke rol spelen composiet vullingen en tandvleescorrectie in esthetiek?
Bij VLIJT Tandartsen zijn composiet vullingen esthetische restauraties die cariës en defecten met precisie herstellen, met perfecte kleurmatching en minimale preparatie. Tandvleescorrecties zijn fundamenteel voor het optimaliseren van de tandvleeslijn, wat resulteert in een harmonieuze glimlach. Composiet is een uitstekende keuze voor zichtbare zones, hoewel de levensduur afhankelijk is van onderhoud. Het corrigeren van tandvleescontouren verbetert het visuele effect van de tanden en draagt bij aan een complete glimlachtransformatie. Deze ingrepen zijn vaak kosteneffectief en verhogen de totale esthetiek, met een direct positief effect op uw uitstraling.
Hoe verloopt het proces van een glimlach make-over bij VLIJT Tandartsen?
Bij VLIJT Tandartsen is een glimlach make-over een gestructureerd proces: consult, diagnostiek, digitale planning, behandeling en nazorg. Wij gebruiken innovatieve technologieën zoals 3D-scans en glimlachontwerpsoftware om het eindresultaat nauwkeurig te visualiseren. Dit vergemakkelijkt uw besluitvorming en creëert een helder begrip van de doelen. Met realistische mock-ups en patiëntgerichte planning minimaliseren we onzekerheid en zorgen we voor een comfortabel en voorspelbaar traject. Hieronder vindt u een overzicht van de stappen, van intake tot langdurig onderhoud.
Wat kunt u verwachten tijdens het eerste consult?
Tijdens uw eerste consult bij VLIJT Tandartsen ondergaat u een klinische beoordeling, inclusief intraorale foto’s en een 3D-scan. Dit stelt ons in staat een nauwkeurige diagnose te stellen en uw wensen en medische achtergrond te bespreken. Onze tandarts zal uw esthetische doelen doornemen, een transparante kosten- en tijdsinschatting geven, en vervolgonderzoeken of mock-ups plannen. U ontvangt heldere instructies en uitleg over de duur van het consult. Deze intake vormt de basis voor een gepersonaliseerd en effectief behandelplan.
Hoe wordt het behandelplan opgesteld en gepersonaliseerd?
Het behandelplan bij VLIJT Tandartsen integreert klinische bevindingen met digitale glimlachplanning en gezamenlijke besluitvorming. Met 3D-scans en realistische mock-ups visualiseren we het ontwerp en de materiaalkeuzes. Onze digitale tools presenteren behandelopties en voorspellen esthetische en functionele uitkomsten, wat u helpt bij de keuze tussen porselein of composiet. Deze samenwerking garandeert dat uw esthetische voorkeuren en functionele vereisten in het plan worden opgenomen. Het plan omvat afspraken over fasering en nazorg.
- Grondige Intake en Diagnose: Uitgebreide foto’s, gedetailleerde scans en een diepgaande inventarisatie van uw esthetische en functionele wensen.
- Geavanceerde Digitale Planning: Creatie van realistische mock-ups en gedetailleerde 3D-visualisatie van het verwachte eindresultaat.
- Precisie Uitvoering: De behandelingen worden gefaseerd en met uiterste precisie uitgevoerd, strikt volgens het vastgestelde plan.
- Optimale Nazorg en Langdurig Onderhoud: Regelmatige controles en proactief beheer van eventuele bijwerkingen om de duurzaamheid te waarborgen.
Wat gebeurt er tijdens de behandeling en nazorg?
Tijdens de behandelfase bij VLIJT Tandartsen worden restauraties met precisie geplaatst. Wij garanderen comfort met verdoving en, indien van toepassing, tijdelijke mock-ups. Onze focus ligt op minimale invasiviteit, respect voor natuurlijke tandstructuur, en gedetailleerde documentatie. Na de behandeling ontvangt u heldere nazorginstructies, inclusief poets- en voedingsadviezen, gevoeligheidsmanagement en planning voor vervolgsessies. Vroege en regelmatige controles zijn cruciaal om aanpassingen tijdig te detecteren en te zorgen voor optimaal herstel en langdurig esthetisch resultaat.
Hoe lang duurt het herstel en wat is het onderhoud?
Hersteltijd en onderhoud variëren per esthetische behandeling. Professioneel tanden bleken heeft minimale herstelbehoefte, terwijl facings en kronen enkele dagen tot weken kunnen vergen, en composiet reparaties directe nazorg vereisen. Consistente dagelijkse mondverzorging – poetsen, interdentale reiniging en vermijden van verkleurende stoffen – is van belang om de levensduur van restauraties te maximaliseren. Periodieke controles en professionele reinigingen bij VLIJT Tandartsen zijn essentieel voor mondgezondheid en esthetiek op lange termijn. Tijdige detectie en reparatie van kleine defecten voorkomen complexere behandelingen. Wij zorgen voor heldere communicatie over onderhoudsaspecten, cruciaal voor uw tevredenheid en het behoud van uw glimlach.
Wat kost esthetische tandheelkunde in Eindhoven en welke vergoedingen zijn mogelijk?
De kosten voor esthetische behandelingen bij VLIJT Tandartsen worden transparant gecommuniceerd en variëren afhankelijk van materialen, complexiteit en behandelplan. Wij bieden duidelijke prijsranges. Verzekeringsdekking is polisafhankelijk en vaak beperkt binnen de basisverzekering. Aanvullende verzekeringen kunnen soms gedeeltelijke dekking bieden, met name bij medische noodzaak. Bij VLIJT Tandartsen bespreken we betaalopties en voorzien we u van een gedetailleerde kostenraming tijdens uw consult. Hieronder vindt u prijsindicaties en vergoedingsmogelijkheden, met verwijzing naar de KNMT voor verdere informatie.

De tabel illustreert de variërende prijzen en benadrukt dat de specifieke polisvoorwaarden van uw zorgverzekeraar bepalend zijn voor de uiteindelijke vergoeding. Een persoonlijk consult bij VLIJT Tandartsen is daarom essentieel voor een exacte en op maat gemaakte kostenraming, volledig afgestemd op uw individuele situatie. Raadpleeg de KNMT voor algemene informatie over tandheelkundige tarieven en vergoedingen.
Wat zijn de gemiddelde prijzen voor facings, bleken en kronen?
De prijzen voor esthetische behandelingen zoals facings, tanden bleken en kronen variëren aanzienlijk, beïnvloed door materiaalkeuze en complexiteit. Porseleinen facings zijn doorgaans duurder dan composiet, en in-office bleken uitgebreider dan thuisbleeksets. Keramische kronen, met superieure esthetiek en duurzaamheid, vallen in een hogere prijscategorie. Andere factoren zijn het aantal tanden, voorbereidende behandelingen en inzet van technologieën zoals 3D-scans en mock-ups. Een persoonlijk consult bij VLIJT Tandartsen is essentieel voor een nauwkeurige kostenraming, rekening houdend met klinische variabelen en uw wensen. Onze transparante uitleg garandeert dat u volledig geïnformeerd bent en voorkomt verrassingen.
Worden esthetische behandelingen vergoed door zorgverzekeraars?
Vergoedingen voor esthetische behandelingen hangen af van de classificatie als medische noodzaak versus cosmetisch. Basisverzekeringen dekken doorgaans alleen medisch noodzakelijke behandelingen. Aanvullende verzekeringen kunnen soms gedeeltelijke dekking bieden, maar voorwaarden variëren per polis. Bij functieherstel is de kans op compensatie groter. Wij adviseren u de polisvoorwaarden nauwkeurig te controleren en een consult bij VLIJT Tandartsen te plannen voor advies. Dit helpt verrassingen voorkomen en biedt inzicht in financieringsopties. Bekijk onze algemene voorwaarden.
Zijn er betaalopties of financieringsmogelijkheden bij VLIJT Tandartsen?
Bij VLIJT Tandartsen begrijpen we dat de investering in esthetische tandheelkunde aanzienlijk kan zijn. Daarom bespreken we diverse betaalopties en gespreide betalingen om behandelingen toegankelijk te maken. Onze praktijk biedt flexibele betalingsregelingen en werkt, indien gewenst, samen met externe financiers. Een persoonlijk gesprek met onze administratie is essentieel om een haalbare betalingsstructuur te creëren die aansluit bij uw financiële situatie. Wij moedigen u aan uw voorkeuren en beperkingen vroegtijdig met ons te bespreken, zodat we behandelplan en financiering optimaal kunnen afstemmen. Duidelijke afspraken zijn de basis voor een zorgeloos en succesvol behandeltraject.
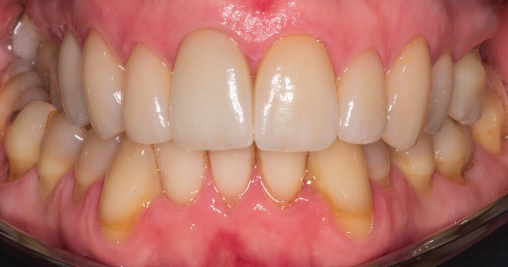
Welke ervaringen hebben patiënten met esthetische tandheelkunde bij VLIJT Tandartsen?

Patiëntervaringen bij VLIJT Tandartsen bevestigen de positieve impact van esthetische verbeteringen op dagelijks leven en zelfvertrouwen. Onze praktijk focust op maximaal comfort, transparante communicatie en klinisch voorspelbare uitkomsten, ondersteund door digitale hulpmiddelen. Visuele resultaten, gecombineerd met nazorg, dragen bij aan langdurige patiënttevredenheid. VLIJT Tandartsen besteedt aandacht aan angstige en internationale patiënten, met heldere uitleg, empathische benadering en flexibele planning. Hieronder presenteren we visuele resultaten, feedback en onze gespecialiseerde aanpak.
Welke resultaten zijn zichtbaar in voor- en na-foto’s?
Onze voor- en na-foto’s demonstreren de transformatieve kracht van esthetische tandheelkunde, met verbeteringen in tandkleur, vorm en symmetrie. Deze visuele bewijzen illustreren hoe precisie restauraties en tandvleescorrecties samenwerken voor een harmonieuze en natuurlijke glimlach. Elke casusbeschrijving omvat informatie over behandelde elementen, duur van het traject en gebruikte materialen. Deze documentatie helpt patiënten realistische verwachtingen te vormen en toont hoe functionele correcties verbonden zijn met esthetische uitkomsten.
Wat zeggen patiënten over het behandelproces en comfort?
Patiënten waarderen onze transparante communicatie, voorspelbaarheid door digitale planning, en effectieve comfortmaatregelen tijdens ingrepen. Lof is er voor proactief pijnmanagement, heldere nazorginstructies en efficiënte planning van vervolgafspraken. De synergie tussen onze professionele technieken en patiëntgerichte benadering verhoogt vertrouwen en resulteert in aanbevelingen. Deze positieve ervaringen weerspiegelen onze gespecialiseerde aanpak voor angstige en internationale patiënten. Meer over patiëntenrechten en -ervaringen.
Hoe helpt VLIJT Tandartsen angstige en internationale patiënten?
VLIJT Tandartsen biedt patiëntvriendelijke intake en behandeltrajecten voor angstige en internationale patiënten. Dit omvat heldere, empathische uitleg, een rustige benadering en focus op comfort. Voor internationale patiënten bieden we praktische tips en flexibele afspraakmogelijkheden. Digitale visualisaties verduidelijken behandeldoelen met precisie, onafhankelijk van taalbarrières. Deze maatregelen vergroten toegankelijkheid en vertrouwen, wat resulteert in efficiënte en succesvolle behandeltrajecten.
Hoe onderhoudt u uw esthetische gebit voor langdurige resultaten?
Proactieve nazorg en consistent onderhoud zijn cruciaal voor langdurige esthetische resultaten. Dagelijkse mondhygiëne en regelmatige professionele controles beïnvloeden direct de levensduur en kleurstabiliteit van restauraties. Onderhoudsadviezen variëren per materiaal (porselein, composiet, gebleekte tanden) en worden beïnvloed door voedingsgewoonten en levensstijl. Hieronder presenteren we verzorgingsrichtlijnen, een controleschema en een overzicht van beïnvloedende factoren om esthetische en functionele resultaten te maximaliseren.

De tabel toont dat onderhoud verschilt per materiaal en dat regelmatige controles essentieel zijn voor langdurig succes.
Welke dagelijkse verzorging is belangrijk na facings en bleken?
Nauwgezette dagelijkse mondverzorging is essentieel na facings of bleken. Dit omvat poetsen met een zachte tandenborstel en niet-schurende tandpasta, interdentale reiniging en vermijden van verkleurende voedingsmiddelen en roken. Voor gebleekte tanden adviseren wij een gevoeligheidspasta en minimaliseren van blootstelling aan extreme temperaturen. Regelmatige professionele reiniging en polijstbehandelingen bij VLIJT Tandartsen zijn onmisbaar om restauraties fris en glanzend te houden. Deze routine ondersteunt esthetiek en mondgezondheid op lange termijn.
Wanneer is een controle of touch-up nodig?
Regelmatige professionele controles zijn vitaal voor het behoud van esthetische restauraties. Voor facings en composiet vullingen adviseren wij controles elke 6 tot 12 maanden, of eerder bij klachten of veranderingen. Signalen voor contact zijn toegenomen gevoeligheid, randverkleuring, kleine chips of kleurverandering. Kleine correcties aan composiet restauraties zijn vaak snel en kostenefficiënt, porselein kan vervanging vereisen. Tijdige controles bij VLIJT Tandartsen zijn essentieel om problemen vroeg te detecteren, escalatie te voorkomen en de lange termijn esthetiek en functionaliteit te ondersteunen.
Welke voeding en gewoonten beïnvloeden de esthetiek van uw tanden?
Voedingsmiddelen en gewoonten kunnen de esthetiek en duurzaamheid van tanden en restauraties beïnvloeden. Kleurende dranken zoals koffie, thee, rode wijn, bessen en sauzen kunnen verkleuringen bevorderen. Roken is schadelijk voor tandkleur en mondweefselgezondheid. Om levensduur en esthetiek te maximaliseren, adviseren wij beperking van kleurende dranken, mond spoelen na consumptie en, indien mogelijk, een rietje. Onberispelijke mondhygiëne en regelmatige professionele reinigingen bij VLIJT Tandartsen zijn cruciaal voor het verwijderen van oppervlakkige verkleuringen. Deze aanpassingen verminderen voortijdige veroudering van restauraties en ondersteunen blijvende, stralende resultaten.
Waar vindt u VLIJT Tandartsen in Eindhoven en hoe maakt u een afspraak?
VLIJT Tandartsen, gevestigd in Strijp-S, Eindhoven, is uw partner voor hoogwaardige, patiëntgerichte esthetische zorg. Wij verwelkomen lokale en internationale bezoekers en garanderen topkwaliteit. Praktische informatie en contactopties worden verstrekt tijdens uw consult. Wij moedigen u aan een consult te boeken voor een bespreking van kosten en behandelplan. Hieronder vindt u onze contactgegevens en instructies voor een afspraak.
Wat zijn de openingstijden en contactgegevens?
Voor actuele openingstijden van VLIJT Tandartsen, neem contact op met onze praktijk. Contactgegevens: telefoonnummer 040-209 2495, adres Philitelaan 59D, 5617AK Eindhoven. Deze gegevens zijn cruciaal voor het plannen van uw bezoek en consult, en van belang voor internationale patiënten. Neem contact op voor specifieke beschikbaarheid en informatie over online boekopties.
Hoe boekt u eenvoudig een consult voor esthetische tandheelkunde?
Een consult voor esthetische tandheelkunde bij VLIJT Tandartsen boekt u eenvoudig telefonisch of via ons online contactformulier. Wij adviseren u vooraf uw wensen en esthetische doelen te formuleren, en medische voorgeschiedenis te verzamelen. Deze voorbereiding draagt bij aan een efficiënt consult en stelt ons in staat direct een nauwkeurige kostenindicatie te geven. Tijdens de intake kunt u een grondige beoordeling verwachten, inclusief digitale scans en foto’s. Een goed voorbereid gesprek versnelt het proces naar een gepersonaliseerd en effectief behandelplan.
Welke bereikbaarheid en parkeermogelijkheden zijn er in Strijp-S?
VLIJT Tandartsen in Strijp-S is uitstekend bereikbaar met openbaar vervoer en auto. Er zijn ruime parkeermogelijkheden in de directe omgeving. Voor internationale bezoekers adviseren wij reis- en verblijfslogistiek zorgvuldig te plannen en vroegtijdig contact op te nemen voor speciale wensen of assistentie. Onze praktijk staat garant voor flexibele planning en heldere communicatie, wat een soepele aankomst, comfortabel behandeltraject en adequate nazorg waarborgt. Wij nodigen u uit uw consult met vertrouwen te plannen, ondersteund door deze praktische informatie.





