Implantaat na trauma: uw weg naar een herstelde, natuurlijke glimlach
Een ongeluk gebeurt sneller dan u denkt. Verlies van een tand door een trauma is niet alleen zichtbaar, het kan ook pijn, functieverlies en blijvende klachten veroorzaken. Gelukkig zijn er duurzame behandelingen die zowel uw uiterlijk als uw kauwfunctie kunnen teruggeven. Een tandimplantaat is één van de meest betrouwbare en bewezen oplossingen.
Wat is een tandimplantaat? De basis van een nieuwe tand
Wat bedoelen we precies met een implantaat? Een implantaat is een kunstwortel — meestal vervaardigd uit biocompatibel titanium of zirkonium — die chirurgisch in het kaakbot wordt geplaatst. Het vormt een stevige basis voor een kroon, een brug of als steun voor een (partiële) prothese. Het werkt als een natuurlijke tandwortel en geeft uw nieuwe tand stabiliteit, zodat u weer zonder zorgen kunt lachen, eten en praten.
De uitdaging: een gebroken tand na trauma en aanhoudende klachten
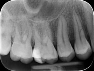
Stel: u bent begin dertig en raakt na een val of klap een tand kwijt. Zo’n situatie overkwam één van onze patiënten. Maandenlang bleef hij pijn en ongemak ervaren. Na een second opinion in onze praktijk werd duidelijk dat de wortel van de tand volledig gebroken was — de tand was niet meer te behouden. Dit soort problemen levert niet alleen fysieke klachten op, maar kan ook onzekerheid en dagelijkse beperkingen veroorzaken. De patiënt wilde een definitieve, betrouwbare oplossing.

De oplossing: waarom een implantaat vaak de meest duurzame keuze is
Bij ontbrekende tanden zijn er verschillende opties: een implantaat, een brug, een frameprothese of een plaatje. Voor onze jonge patiënt — en in veel vergelijkbare gevallen — adviseren wij vaak de meest duurzame en natuurlijke keuze: het tandimplantaat. Waarom geven wij hier de voorkeur aan?
- Behoud van gezonde tanden: In tegenstelling tot een brug hoeven de naastgelegen, gezonde tanden niet beslepen te worden. Uw eigen tanden blijven intact en onnodig verzwakken wordt voorkomen.
- Vast en comfortabel: Een implantaat zit vast in uw mond, net als een natuurlijke tand. U hoeft niets uit of in te doen, wat comfort en spreekgemak verhoogt in vergelijking met een frame of plaatje.
- Voorkomt botafbraak: Een implantaat stimuleert het kaakbot op de plaats van de ontbrekende tand, waardoor botverlies vermindert. Dit helpt de natuurlijke gezichtscontour te behouden.
- Duurzaamheid: Implantaten zijn een bewezen langetermijnoplossing. Met goede zorg kunnen ze tientallen jaren meegaan — een investering in uw mondgezondheid voor de toekomst.
Het behandeltraject: stap voor stap naar een nieuwe glimlach
Het plaatsen van een implantaat is een zorgvuldig, gefaseerd proces — zeker bij een complexe situatie zoals bij onze patiënt met ontsteking en botverlies. Hieronder beschrijven we de gebruikelijke stappen die we doorlopen.
Stap 1: extractie en herstel
Door de actieve ontsteking en het aanzienlijke botverlies kon het implantaat niet direct geplaatst worden na het trekken van de beschadigde tand. Eerst moest de ontsteking rustig worden en het tandvlees herstellen. Als tijdelijke, esthetische oplossing plaatsten we de kroon van zijn eigen tand — na het verwijderen van de wortel — tussen zijn andere tanden. Zo kon de patiënt meteen normaal functioneren tijdens de genezingsperiode.
Stap 2: plaatsing van het implantaat en botopbouw
Zodra het mondslijmvlies rustig was en de mondgezondheid weer hersteld, konden we het implantaat plaatsen. Tegelijkertijd voerden we een botopbouw uit: door de ontsteking was kaakbot verloren gegaan en een stevig fundament is cruciaal voor stabiliteit. We vulden het ontbrekende bot aan zodat het implantaat goed omringd wordt en een solide basis krijgt.
Stap 3: tandvleescorrectie
Voor een natuurlijk en duurzaam esthetisch resultaat versterkten we het tandvlees rond het implantaat. Hiervoor verplaatsten we een klein stukje tandvlees uit een andere mondzone en hechtten dat op de implantaatlocatie. Dit ondersteunt zowel gezondheid als een natuurlijke uitstraling van het tandvlees rondom de nieuwe tand.
Stap 4: genezing en integratie (osseointegratie)
Na plaatsing volgt een genezingsperiode van enkele maanden — in dit geval 4 maanden. In die tijd groeit het kaakbot vast aan het implantaat; dat proces noemen we osseointegratie. Daardoor krijgt het implantaat de stabiliteit die vergelijkbaar is met een natuurlijke wortel.
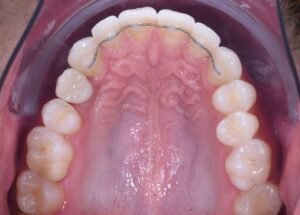
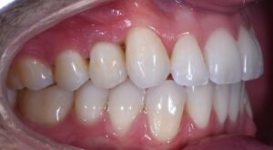
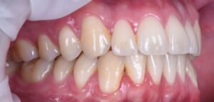
Stap 5: plaatsing van de definitieve kroon
Als het implantaat volledig is ingebouwd en stabiel, wordt de definitieve kroon vervaardigd en geplaatst. Deze kroon wordt op maat gemaakt: kleur en vorm stemmen we af op uw natuurlijke gebit. Het eindresultaat is een tand die qua uitstraling en functie nauwelijks van uw eigen tanden te onderscheiden is.

Het resultaat: een herstelde glimlach en meer levenskwaliteit
Na afronding van het traject en het plaatsen van de definitieve kroon kon onze patiënt meteen weer alles doen wat hij gewend was. De nieuwe tand functioneert als een normale tand — de pijn en klachten verdwenen en zijn zelfvertrouwen keerde terug. Een implantaat biedt niet alleen een esthetische verbetering, maar draagt ook merkbaar bij aan uw dagelijkse kwaliteit van leven:
- Verbeterd uiterlijk: Een complete, natuurlijke glimlach versterkt zelfvertrouwen en uitstraling.
- Verbeterde spraak: Geen open plek in het gebit meer die de uitspraak beïnvloedt.
- Verbeterd comfort: Een vaste, stabiele oplossing die aanvoelt als uw eigen tand, zonder irritaties of verschuivingen.
- Volledige functionaliteit: Eten, lachen en praten zonder beperkingen.
- Duurzaamheid: Een investering in uw mondgezondheid met een oplossing die jarenlang meegaat.
Met een implantaat vervangt u een ontbrekende kies op een duurzame manier, zonder dat andere tanden daarbij beschadigd hoeven te raken.

Veelgestelde vragen over tandimplantaten
Wat is de levensduur van een implantaat?
Met goede mondhygiëne en regelmatige controles kan een implantaat tientallen jaren meegaan, soms zelfs een leven lang. De kroon kan na verloop van tijd vervangen moeten worden, maar het implantaat zelf blijft in veel gevallen behouden.
Is de behandeling pijnlijk?
De ingreep vindt plaats onder lokale verdoving, zodat u tijdens het plaatsen geen pijn voelt. Na de behandeling kunt u napijn of ongemak ervaren; dat is vaak goed te beheersen met pijnstillers. Wij zorgen ervoor dat u zich tijdens en na de behandeling zo comfortabel mogelijk voelt.
Kan iedereen een implantaat krijgen?
De meeste mensen komen in aanmerking voor een implantaat, maar belangrijk is voldoende kaakbot en een goede algemene gezondheid. Roken en bepaalde medische aandoeningen kunnen de kans op succes verminderen. Daarom doen we altijd een grondig onderzoek vooraf om te bepalen of een implantaat de juiste keuze voor u is.
Wat zijn de voordelen van een implantaat ten opzichte van een brug?
Het grootste voordeel is dat naburige tanden niet beslepen hoeven te worden. Een implantaat stimuleert bovendien het kaakbot, wat botafbraak voorkomt — iets wat bij een brug eerder kan optreden. Daarnaast voelt en functioneert een implantaat vaak meer als een natuurlijke tand, wat resulteert in meer comfort en een natuurlijker gevoel.
Hoe lang duurt het hele traject?
De duur varieert per patiënt. In complexe gevallen met botopbouw kan het traject — van extractie tot definitieve kroon — 6 tot 9 maanden duren. Bij directe plaatsing kan dit aanzienlijk korter zijn. Tijdens het intakegesprek krijgt u een persoonlijke tijdsinschatting.







